モダリティ

ページタイトル画像

一般撮影

 単純X線撮影は一般的に「レントゲン」といわれている検査です。主に胸部・腹部・骨格系の撮影を行います。全ての撮影室で最新のFPD(FPD:Flat Panel Detector)を使用しており、従来よりも被ばく線量が少なく、鮮明な画像を提供しています

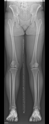
  • 下肢全長画像

  • 全脊椎画像


歯科領域撮影

 口腔内の撮影であるパントモ撮影や、顎関節規格撮影を行っています。またセファロ

撮影といわれる頭部規格撮影を行い、睡眠時無呼吸症候群の診断に使われています。


骨塩定量

 2種類のエネルギーX線を用いる精度の高いDEXA法(Dual Energy X-ray Absorptiometry)を採用した装置で、身体の骨塩量を測定しています。骨粗鬆症などの診断に使用し、加齢による骨密度の変化や治療の効果判定に用いられます。


病室回診撮影

 移動が困難な方には、病室での撮影を行います。FPD搭載移動式X線撮影装置を緊急時にも対応できるよう、ICU・HCU・CCUの専用機、NICU・GCUの専用機、その他一般病棟用の計3台を配置し使用しています。

乳腺撮影

 エックス線を用いた乳房撮影をマンモグラフィといいます。乳房の大部分は、乳腺を脂肪組織で構成されており、普通のエックス線検査で使用される装置では診断に有用な画像を得ることができません。マンモグラフィによって、視触診では分からない早期乳がんの発見が可能となります。

 乳房は丸みを帯びているため、プラスチック板とフィルム支持台で乳房を挟み、均等な厚みにすることで乳腺の重なりを減らし、病変部の描出能を向上させ、少ないエックス線量で撮影することが可能となります。原則として2方向で撮影します。また撮影乳房は、症状がある側(検測)だけでなく、症状がない対側乳房も撮影します。通常のレントゲン撮影と異なり、軟エックス線を用いて撮影するため、髪の毛や薄い衣服なども障害陰影となるため、当院では基本的に上半身は裸の状態で撮影します。撮影時に髪が写り込む可能性がある時は髪をまとめていただくことがあります。また清涼パウダーボディー用ファンデーションなどはマンモグラフィでは障害陰影となる場合がありますので、ご使用をお控えください。検査において乳房の厚みを均一にして固定するため、痛みを伴う場合があり、全く痛みを感じない方、強く痛みを感じる方、人それぞれです。

 乳房をそのままの厚みで撮影した場合、乳腺・血管・脂肪などの重なりで、病気があったとしても写真には写りません。乳房の病気には、0.1mm程度のとても小さな病変だけが早期発見の手掛かりになることもあり、そのため乳腺を広げて固定して、できるだけ乳房を薄く広げて撮影しなければ良い写真を撮ることはできません。我慢できるぎりぎりまで乳房を圧迫することは大変重要なことです。(圧迫板は一定以上の圧力がかからないよう設計してあります)ご協力お願いします。


基本の2つの撮影方向

  • 内外斜位方向撮影(MLO)

  • 頭尾方向撮影(CC)

その他、精密検査での拡大撮影や乳管造影検査などがあります。