モダリティ

ページタイトル画像

血管撮影

 血管撮影とは、手首や太ももの付け根(鼠径部)の血管からカテーテルという細い管を挿入し、目的の血管内にX線で見える造影剤を注入しながらX線撮影を連続的に行うことで、血管の形態や流れを調べる検査です。血管撮影検査の適用は頭部から四肢(手足)に至るまで多岐にわたり、診断を行うだけでなくIVR(Interventional Radiology:画像下治療)と呼ばれる血管内治療も積極的に行われるようになっています。血管撮影で行われる治療の場合は動脈からの出血を止める止血術、心筋梗塞など閉塞をきたしている血管を拡げる血管拡張術や脳梗塞に対する血栓回収術など早期に治療を行わなければ生命に関わることもあるため、非常に重要な検査や治療が行われます。これから血管撮影室で使用している装置で行われている検査および治療を簡単にご紹介します。


頭頚部・脳血管撮影検査・治療

 脳血管に直接カテーテルを挿入し、詳細な脳血管の血流や走行、形態情報を得るために行う検査です。脳動脈瘤や脳血管および脊椎動脈における動静脈奇形などの診断カテーテル検査をはじめ、動脈瘤に対するコイル塞栓術、頸動脈狭窄に対するステント留置術(CAS:Carotid Artery Stenting)、脳腫瘍に対する開頭手術前の腫瘍塞栓術、硬膜動静脈瘻などのシャント性疾患に対する塞栓術など様々な疾患に対する治療も行っています。

 当院で使用している装置はFPD搭載のバイプレーン血管撮影装置であり、循環器領域をはじめ、20inchの大型パネルで全身に対応できる装置であり、特に脳血管内治療を強力にサポートする豊富なアプリケーションが導入されています。Pixel size 154μm、濃度分解能16bitの性能を持つFPDは、高精細な3Dイメージングや、頭蓋内の穿通枝レベルの微細な血管や周辺解剖、およびデバイスの描出に優れた性能を有し、画質を維持しながら最大73%被ばくを低減し、患者様に、精度高く安全に配慮した検査・治療を受けていただける装置として位置づけられています。


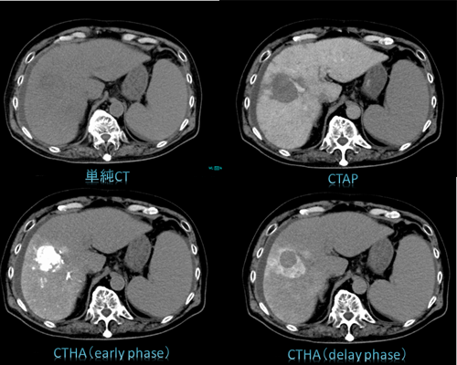
胸腹部血管撮影検査・治療

 胸腹部の血管造影検査は、カテーテルを用いて大動脈および大静脈といった太い血管や、そこから分岐している細かい胸腹部の血管を選択的に造影する検査です。最新のIVR-CTシステムを利用し、肝細胞がんに対する動脈化学塞栓術(TACE)、門脈圧亢進症による静脈瘤の治療(B-RTO)をはじめ、CT透視下で行う、各臓器の生検・ドレナージ術や慢性血栓塞栓性肺高血圧症(CTEPH)に対する肺動脈造影および肺動脈形成術(BPA Balloon Pulmonary Angioplasty)などのIVRを行っています。さらに当院は三次救急指定病院であるため、外傷性出血に対する止血術も行っています。


心臓カテーテル検査・治療

 心臓カテーテル検査は、冠動脈や心腔内の描出および心臓内圧(心内血行動態)の情報などを得るために、カテーテルを動脈や静脈に挿入し、心臓まで到達させて行う検査で、主に検査(診断)と治療にわかれています。

 検査には採取した血液中の酸素濃度を測定する検査、心臓の循環血液量を測定して機能情報を得る検査、造影剤を使って心臓の冠動脈の形態および壁運動を知る造影検査(CAGおよびLVG)などがあります。また不整脈の診断には、心臓内の電気の伝わる速さを調べる電気生理的検査(ESP)を行います。

 一方治療には、狭くなった冠動脈にステントを留置する冠動脈ステント留置術(PCI)をはじめ、心臓以外の動脈や静脈を拡張させる血管拡張術(PTA)、頻脈性不整脈の原因となる電気回路を遮断させるため、心筋に高周波電流を流して焼灼するアブレーションや、徐脈性不整脈に対するペースメーカー埋込術(PMI)、除細動器のデバイス埋め込み術(ICD)などがあります。


Hybrid OR

 Hybrid ORは手術台とIVR(インターベンショナルラジオロジー)の行える血管撮影装置を組み合わせた手術室のことです。Cアームスタンドの6軸とコリメータ、FPD(フラットパネルディテクタ)の回転機構を加えた計8軸の回転機構から構成されているロボットアーム型の血管撮影装置を搭載しており、多彩なCアーム挿入ポジションを選択でき、術者の妨げにならずに手技を行うことが可能であります。

 ハイブリット手術室では経皮的大動脈弁置換術(TAVI)、経皮的僧帽弁クリップ術(MitraClip)、左心耳閉鎖術(WATCHMAN)などの構造的心疾患(SHD:Structure Heart Disease)に対するインターベンションをはじめ、大動脈解離や大動脈瘤に対するステントグラフト内挿術(TEVAR、EVAR)、エキシマレーザーを用いたデバイスリード抜去術など、様々な手技を行っています。

 従来は開胸や開腹して行っていた手術や、高齢やリスクが高いことが原因で治療ができなかった患者さんに対して開胸せずに低侵襲なカテーテル治療を行うことができるようになりました。