モダリティ

ページタイトル画像

放射線治療

 

放射線治療とは、高エネルギーのエックス線や電子線などの放射線をがん細胞へ照射することによって、がん細胞を死滅させる治療です。放射線治療には100年以上の歴史があり、がんの3大治療の一つとされています。

 放射線治療では、臓器の形態および機能を温存できることが最大の特徴です。またその対象は広く、身体のほとんどの部位が治療可能であり、体への負担も少ないため原則通院での治療を行っています。手術と放射線治療が同等の治療効果を示すがんは少なくなく、頭頚部がん、食道がん、肺がん、子宮頸がん、肛門がんなどは放射線治療単独、または抗がん剤と併用することで完治を目指せるがんとなっています。特に子宮頸がんでは放射線治療と化学療法併用の効果が手術を上回るという報告もあります。患者さんの病気や症状によって照射範囲や照射方法が異なり、照射方法は、精密な治療計画によって作成されています。さらに最新の放射線治療装置による高精度な治療により、最小限の範囲以外には放射線の影響はありません。

 近年、放射線治療の精度向上、認知度の向上により、利用率は急速に増加していますが、日本では、25%にとどまっています。しかしアメリカでは66%、ドイツでは60%、イギリスでは56%と広く利用されています(2007年厚労省)。今後はさらに放射線治療の利用率が増加すると予想されます。

 放射線治療は、放射線治療医師、診療放射線技師、看護師、医学物理士といった多職種のチームによって行われています。それぞれが専門分野を担い、協力し合って患者さん一人一人に最適な治療を行えるように努力しています。


Linac

 放射線治療には、体の外から照射する外部照射と、体の中から照射する内部照射があります。外部照射には、リニアック(Linac:Linear Accelerator)という放射線治療装置が多く用いられています。当院では2021年に最新のリニアックに更新し、現在2台のリニアックにより外部照射を行っています。装置の更新により、画像誘導放射線治療(IGRT)、強度変調放射線治療(IMRT)に加え、体表面情報による位置照合(S-IGRT)が可能となり、従来よりも高精度な放射線治療が可能となっています。

 リニアックによる放射線治療は、患者さんの病気や症状によって異なりますが、通常、数回から30数回まで連続で照射を行います。当院では、患者とのコミュニケーションを何よりも大切に考え、毎回の治療が苦痛なものにならないよう心掛けています。また、照射中に少しでもリラックスしていただけるよう青空をイメージしたバーチャルな天窓を各部屋に配置しています。


MR-Linac

 高磁場MRI一体型放射線治療装置の導入が決定し、年内の稼働に向けて現在組み立て作業中です。高磁場のMRIにより正常組織と腫瘍が明瞭に識別でき、これまで放射線治療が難しかったケースでも治療が可能になる可能性があります。この装置は治療直前のMRIをもとに治療計画を行うことが可能であり、腫瘍の変化や周囲のリスク臓器の位置関係により元の治療計画を修正することが可能になります。作成された治療計画は照射中のMR画像のモニタリングにより担保されます。また、⾼磁場MRIでは解剖情報のみならず機能情報も取得できるため、放射線に対する腫瘍応答に合わせて治療計画を修正できる可能性があります。


RALS

小線源治療には、ラルス(RALS:Remote After Loading System)という専用の医療機器が多く用いられます。この機器を用いて、粒状の小さな放射線源を身体の中に入れ、身体の中から放射線を当てる方法です。そのため、放射線を病変に限局し、かつ集中的に照射できるようになっています。従来は単純X線画像を用いて治療計画を行っていましたが2014年よりCT画像やMR画像を用いた三次元画像誘導密封小線源治療を開始しました。単純X線画像ではわからなかった腫瘍やリスク臓器が可視化できるため、より腫瘍に限局した照射ができリスク臓器の線量を下げることが可能になりました。


放射線治療計画CT

 放射線治療の準備として、まず治療計画を立てるためのCTを撮影します。得られたCT画像から放射線治療医師が、病変や周囲正常組織の位置関係を三次元的に正確に同定し、放射線の投与量と照射範囲を厳密に設定することにより、正常組織の影響を最小限に抑え、かつ病変に集中的に放射線を投与できるように照射方法を決定します。


IGRT

 IGRTとは、照射の直前や照射中にX線写真やCT画像を取得して、治療計画時の画像と重ね合わせて、骨やマーカーなどをもとに正確に合わせ込みを行い、位置のずれの量を求めて寝台位置の修正を行ってから照射を行います。


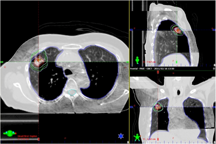
SRT

 SRT(Stereotactic Radiotherapy:定位放射線治療)とは、局所的に多方向から放射線を投与する照射です。1回の照射で目的とする病変へ多くの線量を限局して与えることができるので、数回の照射で病変への放射線の効果を高めるとともに、治療計画時の画像との重ね合わせを行い、高精度な照射位置の再現をしてから放射線を照射します。


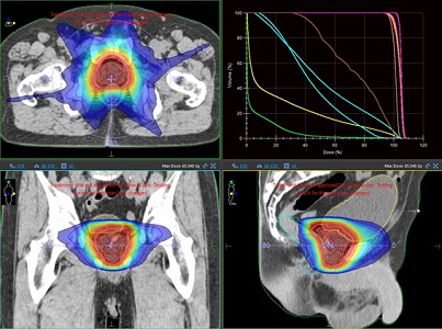
IMRT

 IMRTとは、コンピュータによる治療計画の最適化を行い、正常組織に投与されてしまう放射線の量を従来の外部照射よりも抑えることができ、かつ病変に集中的に放射線を投与することを可能にする照射です。当院では2011年よりIMRTを施行しており、主に前立腺がん、頭頚部がんに多く行っています。