千葉大学病院
冠動脈疾患治療部
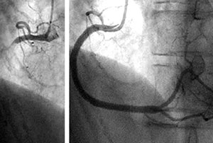
詰まった冠動脈にステントを留置
(左:治療前、右:治療後)
治療は病気の程度によって(1)内服、(2)カテーテル治療「PCI」、(3)バイパス手術「CABG」のいずれかが選択されます。
カテーテルを用いた治療(経皮的冠動脈形成術、「PCI」)では、手首や足の付け根に針で穴をあけ、そこから風船のついた細い管を血管内に通して膨らませたり、ステントと呼ばれる細い金網の筒を入れたりして血管の狭いところや詰まったところを再び開通させます。 とくに、治療した部分での細胞の増殖を抑える薬剤を塗った薬剤溶出型ステントを用いた場合の再治療率は5%前後と、良好な成績をあげています。
PCI後患者においては、残存する動脈硬化性病変や全身の動脈硬化の進展により、心血管イベントの再発リスクが持続します。
数多くの臨床研究により、積極的なLDLコレステロール低下療法が、心血管イベントの抑制に有効であることが示されています。
当院では、ガイドラインや学会からの提言を踏まえ、右記の脂質管理フローを参考にしながら、患者背景やリスクを考慮した脂質管理を行い、長期的な予後改善を目指した治療を提供しています。
