診療内容

ページタイトル画像

冠動脈造影検査(カテーテル検査)

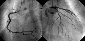
カテーテルで撮影した正常の冠動脈

診断確定と治療方針の決定にはカテーテル検査が必要です

 病気の診断には冠動脈のかたちを直接撮影する冠動脈造影検査(心臓カテーテル検査の一種)が用いられます。 これによって、冠動脈の狭窄の部位や程度を評価して治療方針を決定することが可能です。 また前述した冠攣縮性狭心症の診断のための冠攣縮誘発試験もおこないます。

手首からのカテーテル後の止血の様子
※手首から検査できないこともあります

緊急を要する場合はすぐに検査をおこないます

 当院では千葉市内を中心として近隣地域で発生した緊急の患者さまを随時受け入れています。 病院に到着後すみやかに緊急冠動脈造影を行います。 診断確定後は必要に応じてカテーテル治療またはバイパス手術を実施することが可能です。

落ち着いている患者さまは日帰り検査も可能です

 年齢、体調など一定の基準を満たす患者さまは日帰りでの冠動脈造影検査も可能です(循環器内科医師の診察後に予約をお取りいたします。初診当日の検査はできません)。