画像診断について

ページタイトル画像

Ai

Autopsy imaging (Ai) :最後まで責任を持った医療を

医学・医療は新しい治療法が日進月歩で開発され、完治に至る患者さんが多くなってきています。しかし、それでも不幸にして病魔に負ける方が多いのも事実です。また、治療を受ける機会もなく、突然無くなってしまう方も大勢います。こうした避けようのない「死」に際して、病気などが身体に及ぼした影響を詳しく調べ、死に至った原因を真摯に追求することは、われわれ医療者のつとめの一つであり、そのことが医学・医療の進歩に重要な役割を果たしてきました。

最近は、CTやMRIなどの画像診断法が著しく進歩し、非侵襲的に、身体の外から病変を見つけることが出来る様になっています。千葉大学医学部附属病院では早くから、死亡時画像診断 (オートプシー・イメージング:Ai) に取り組み、2007年には全国初のAiセンターを設立しました。

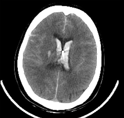
最後まで患者と向き合い、透明性の高い医療を行う。千葉大学医学部附属病院放射線科はその目標のもと、死後画像所見の蓄積とその解析に力を注いでいます。突然の死亡事例の死因究明の一助として、画像診断の役割は年々高まりつつあります。くも膜下出血(下図)や大動脈解離などの死亡原因がCTを撮影することにより明らかになっています。