千葉大学大学院医学研究院
画像診断・放射線腫瘍学
千葉大学病院
放射線科
検索
Menu
ホーム
教室紹介
教授挨拶
画像診断センター長挨拶
放射線治療部紹介
画像診断センター紹介
スタッフ紹介
関連施設・連携施設
診療案内
外来診療のご案内
放射線治療について
画像診断について
放射線被ばくについて
教育・研修案内
放射線医学を志す方々へ
放射線科専門研修プログラム
募集方法
医局説明会
見学希望の方へ
地域枠について
専攻医の一日
先輩からのメッセージ
女性医師からのメッセージ
活動状況
臨床研究(情報公開文書)
業績
研究会・学会案内
活動報告
アクセス/連絡先
お問い合わせ
アクセス
診療案内
ホーム
>
診療案内
>
画像診断について
画像診断について
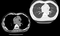
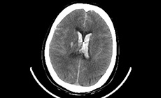
CT・MRI
核医学
IVR
Ai
PageTop