千葉大学大学院医学研究院
画像診断・放射線腫瘍学
千葉大学病院
放射線科
画像診断センターは、他施設では画像診断部/画像診断科と言われる部署に相当します。画像検査を主軸として診療を行う放射線科の部門で、2018年に設立し診断センター長、特任教授を迎えることとなり、院内でも重要な診療科として認知されています。
診断部での診療は大きく2つに分かれます。1つはCTやMRI、核医学検査などを用いた画像診断で、様々な撮像方法を駆使して病気の発見や病態の評価を行います。
CTやMRIでは主に形態や病気の性状の評価を行います。現在、検査や病気の種類は増加傾向にあり、疾患並びにその画像所見に対する理解が重要になっています。画像診断センターでは、診療放射線技師と協力して数ある検査の適用や多彩な撮像方法を提示・提供することで適切な診療が行われるようにしています。また、最近問題となっている被ばく量の増加に対する取り組みも行われており、CT装置での被ばく低減や不必要な被ばくが行われないような検査内容の最適化にも取り組んでいます。このような検査のコントロールも画像診断医の仕事の一つです。
核医学検査ではある評価対象に特異的に集まる薬剤を投与することによってその機能や代謝、血流などの評価を行うことができます。PET検査の一つであるFDG-PETは有名ですが、糖代謝の盛んな部位を可視化することにより、異常の発見やその活動性をわかりやすい画像で提供することができます。施設によっては核医学分野が独立しているところもありますが、当科ではその垣根がなく、各診療科に関わる医師が、臨床と合わせて自身で多角的な視点から診断を行うことができます。
これらの画像検査を駆使することにより正確な診断へと結びつけることが可能となります。近年では多数の疾患概念の出現や変遷、多彩な治療法の開発により、正確な、そして詳細な診断が必要となっています。また、画像検査における“見落とし”問題により、画像診断への注目は高く、日常診療においても非常に重要視される分野であるといえます。
もう1つは画像検査を用いるinterventionです。これはさらに2つにわかれ、血管内にカテーテルを挿入して経血管的に悪性腫瘍や血管病変の治療を行うものと、画像検査下で体表から針を刺入することで生検や治療などの手技を行うものがあります。いずれも手術と比較して、身体への負担や傷痕を少なくすることができます。特に身体の深いところにある病変に対して有用です。とても高い専門性を有する上に、対象となる疾患の多彩性もあり、自分の技量が試される分野でもあります。当科では消化器内科の肝細胞癌に対する動注療法や、心臓血管外科の大動脈瘤や大動脈解離への治療、救急科の重症外傷に対する塞栓術、骨腫瘍の術前の塞栓術などを依頼科と協力して診療にあたっています。
このように画像診断における対象疾患並びに検査は幅広く、それぞれで高い専門性を有すため、その必要性は年々高まっております。画像診断センターでは各モダリティを駆使して様々な方向から疾患へとアプローチしています。

千葉大学医学部附属病院放射線科では計4台のCTがあり、単純および造影CT検査ともに国立大学系病院として年間で約42000件ほどの全国トップクラスの件数を誇っています。
2021年の新中央診療棟のオープンに伴い、2台のdual energy CTが導入されました。ガントリが回転する間に高速で管電圧を切り替えるfast kV switching方式を採用しており、2種類の異なるX線エネルギー情報を取得することが可能です。これによって仮想的に任意のX線エネルギーを画像化することができます。例えば、低管電圧では造影効果がより増強されコントラストの向上が得られます。逆に高電圧では金属アーチファクトの低減が可能です。患者様毎の条件に合わせて、より診断に適した画像を作成し、提供することが可能となっています。また、dual energy CTではエネルギー特性から特定の物質を強調あるいは抑制して画像化することができます。水、ヨード、脂肪、カルシウムなどの強調、抑制を組み合わせることで病変の性状評価や検出能の向上、仮想単色X線画像の作成など、多くの臨床応用が可能となっています。
CTの短所の1つに医療被ばくが生じる点がありますが、線量の自動調整機構やdeep learningを利用した画像再構成など、被ばく低減のための最新技術も実臨床で使用できるようになっています。また、放射線科医が検査内容を事前に確認、適正化することで、診断に必要な最低限の被ばくで最良の画像診断を提供できる体制となっています。
放射線科診断専門医のほか、画像処理に精通した診療放射線技師により、これらの機器を適切に用いて検査を最適化し、種々のワークステーション並びに2019年から新たなPACS読影端末も導入し、最先端画像撮像に伴う膨大なデータ発生に対応しています。


千葉大学医学部附属病院放射線科のMRI導入の歴史は古く、1980年に千葉MR研究会が発足し、翌1981年に当科第2代教授有水昇先生を中心に第1回日本磁気共鳴医学会が開催されています。MRI画像は組織分解能が高いことが特徴であり、腫瘍の性状を詳しく分析することが可能です。脳疾患の診断にも欠かせない診断装置です。欠点としてはCTに比べて検査時間が長く、また検査中に大きな音がすることが挙げられますが、CTのようにX線を使いませんので被曝はありません。
現在は、3.0T MRI装置を2台、1.5T MRIを3台の合計5台のMRIが稼働しています。3.0T MRI装置は市販されている最上位の高磁場装置です。当院では2社の3.0T MRI装置を用いて、それぞれの特徴を生かした撮像を行っています。また、指の関節なども高解像度に撮影可能なマイクロコイルからフェーズドアレイコイルまで取り揃えています。映像を見ながら撮像することもできる環境も整えており、小児や閉所恐怖症のある患者様に好評を得ています。
MRIは年間で約14000件の検査を行っています。多くの診療科を抱える大学病院であることから、その撮像範囲は頭から足の先まで全身に及びます。
このように多くの日常診療の画像を撮っていますが、研究のための画像検査も行っています。例えば、従来の撮像法では評価の難しかった腱や靭帯、神経といった微細な構造物を視覚化できる撮像法は、各科の医師からも診断に役に立つとのご評価を頂いています。
核医学は主に各臓器の機能が評価できる画像診断です。脳血流、心筋血流、肺血流、肝予備能、腎機能、骨代謝などをそれぞれ特殊な放射性医薬品を用いて画像化し評価することができます。CTほど一般的な画像検査ではありませんが、形態的な評価のみならず、臓器の機能評価ができることが大きな利点です。乳癌の最初に転移するリンパ節の検索も、核医学的手法を用いて行っています。また当院では、核医学検査とCTの融合画像(SPECT-CT)も可能です。機能画像とCTの形態画像との融合画像が得られ、診断精度の向上が図られます。また、最新のソフトウェアの導入により、SPECTを用いた定量評価もできるようになっています。
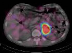
PET(ポジトロン断層画像)も核医学検査のひとつです。当院はサイクロトロン施設であり自前で18F-FDG(フルオロデオキシグルコース)を合成しPET検査を行っています。18F-FDGはブドウ糖に似た物質に放射性物質の18Fを付けたものです。注射をすると、ブドウ糖をよく使う脳・心筋・がんなどに集まります。この薬に使われる18Fは半減期が110分と短いため、すぐに減ってしまいます。そのため、病院内にサイクロトロンという機械を設置して病院内で製造しています。当院ではPETにCTを組み合わせたPET/CT検査を行っています。これによりPETの機能(糖代謝)画像とCTの形態画像との融合画像が得られ、診断精度の向上が図られます。
当施設では年間で核医学検査を約2500件、FDG-PET検査を2000件行っています。
核医学画像は放射線診断専門医により検査・読影され、病院全体の診療に貢献しています。



適当な日本語訳がなくこのIVRという言葉が広く使われています。もともとは画像診断の一つとして血管造影検査が施行されていたわけですがその技術が患者様への治療法として応用されており、今後もまだまだ発展していく分野です。外科医であれば直接、病変部へ切り込んでいき治療を施しますが、IVR医はカテーテルや針などを用いて画像誘導下に病変に到達します。その分傷は小さく、手術に比べると低侵襲な治療法であることが利点で、患者様の苦痛軽減、入院期間の短縮や費用の削減効果などもあります。
IVRは大きく、血管系、非血管系に分類できます。血管系IVRには血管拡張術、血管塞栓術などがあり、非血管系にはCTや超音波ガイド下の腫瘍生検やドレナージなどがあります。
千葉大学医学部附属病院放射線科では各科と協力しながら以下の様なIVRを行っています。
などが多いですが
なども適宜施行しています。