病気と検査・治療について

ページタイトル画像

MRI検査(心臓MRI検査)

中央診療棟地下1階にあるMRI検査室で行っています。1.5ないし3テスラ核磁気共鳴装置を用いています。循環器内科疾患の大半が検査の対象となります。検査自体にかかる時間は約30~60分程度です。
1回の検査中にいろいろな撮像方法を組み合わせ、またMRI検査用のGd(ガドリニウム)造影剤を用いることで、現在の心臓の状態について、様々な情報を得ることができます。(具体的には①心臓や弁の機能、形態学的評価 ②心筋の浮腫、線維化等組織学的な評価、③冠動脈評価、④大動脈病変(動脈瘤など)の有無までみることができます。)
このMRIの結果と他検査の結果とを合わせて、診断・治療方針を決定します。MRIの結果は大変有用な情報であり、例えば心筋梗塞・狭心症の診断や予後評価、心筋症(心臓サルコイドーシス・心臓アミロイドーシスなど特殊な心筋症も含む)や急性心筋炎まで診断することが可能です。
このように診断のカギとなる心臓MRI検査ですが、放射線被曝を受けることなく検査できることから、特に小児や若年者にも有用とされています。ただ、過去に治療等で金属や医療機器(ペースメーカーなど)が体内に留置された患者さんや、閉所恐怖症をお持ちの方など、一部の患者さんは検査ができません。腎機能障害がある方では、造影剤を用いる撮像法が行えないこともあります。担当医の指示に従って検査をご検討ください。
検査の際には、心臓MRI検査が問題なくできるか否かを判定するチェックシートをお渡ししております。もれなくお答え頂き、ご不明な点はできるだけ早い段階で担当医までご確認ください。また、心拍数が早い患者さんは、場合により心拍数を下げるための前投薬を内服して頂く場合があります。

以下に心臓MRIの代表的は撮像方法を記載します。

Gd造影剤を用いた心臓MRI検査

シネMRI

通常検査の最初に行う撮像法です。心臓の大きさや壁運動、心筋の壁の厚みなどの形態や、心臓弁膜症の有無を評価します(図1)。

T2強調撮影

主に心臓の筋肉に存在する炎症や虚血(血流障害)による浮腫をみるための撮像法です。心筋炎、心サルコイドーシスなどの炎症性疾患が疑われる場合や、急性期の心筋梗塞症の場合に行います(図2)。

心筋パーフュージョンMRI

造影剤を注射しながら左室の心筋の染まり具合を撮像し、局所的に染まりの悪い部分の有無を評価する方法です。心筋梗塞症・狭心症などの虚血性心疾患の診断に用います。患者さんの状態に応じて、負荷薬物の点滴を合わせて同時に行うこともあります。

遅延造影MRI

心筋梗塞や心筋症などで、線維化など心筋のダメージの存在を見るための撮像法です。造影剤注射後の約10~15分後に撮影を行い、ダメージを受けた
領域は他の領域に比べ白く描出されます(図3)。

ホール・ハート・コロナリーMRA

呼吸および心電図同期を同時に行い、冠動脈内の血流信号を画像化して、冠動脈をみるための撮像法です。心筋梗塞や狭心症の原因となる冠動脈の狭窄病変の診断に用います。造影剤を用いずに冠動脈病変を形態評価することができます。冠動脈の石灰化によるアーチファクトの影響を受けないので、冠動脈造影CT検査が苦手とする高度石灰化症例などで有用です。

  • 図1:シネ画像(水平断):肥大型心筋症の症例
    心室中隔に非対称性の壁肥厚を認める。

  • 図2:T2強調画像:心サルコイドーシスの症例
    左室心筋下壁に心筋浮腫が疑われる
    (黄色矢印部位の高信号域・白色部位)。

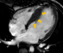
  • 図3:遅延造影MRI (短軸):心サルコイドーシスの症例
    心室中隔に遅延造影を認める
    (黄色矢印部位の高信号領域・白色部位)。
    同部位の心筋のダメージの範囲を評価できる。

その他のMRI検査

造影剤を用いずに大動脈や下肢の末梢動脈の狭窄や動脈瘤などの形態評価も可能です。ヨード造影剤アレルギーのために造影CT検査が禁忌の症例の検査も可能です。

文責:大門 道子