病気と検査・治療について

ページタイトル画像

CT検査(循環器領域)

CTは、X線を用いて体内の臓器を非侵襲的に評価することができます。
一般的には人体の輪切り画像(図1)として知られていますが、最新のCTや画像解析ソフトを用いることで、縦切り画像や3次元画像(図2)などを自在に作成し、診断に有用な情報を得ることが可能です。
特に、従来、心臓カテーテル検査のみにて描出が可能であった冠動脈を、近年では非侵襲的にCTで評価することができるようになりました(図3)。冠動脈病変は、心筋梗塞症や狭心症の原因となるため、その評価は大変重要です。この他、大動脈瘤などの大動脈疾患や、心臓腫瘍・血栓の有無などの評価もできます。また、CT機器の進歩により、現在は患者さんが受ける被ばく線量の低減や、造影剤投与量の減量も可能となりました。

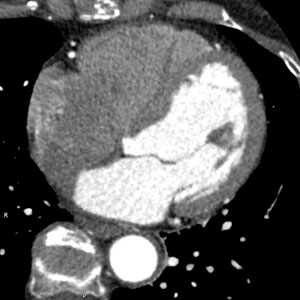
  • 図1:心臓CT水平断画像

  • 図2:心臓CT 3次元再構成画像

  • 図3:心臓CT 左冠動脈前下行枝
    3次元再構成画像