病気と治療

ページタイトル画像

脳梗塞治療

最近の脳梗塞の診断と治療

脳梗塞の治療で大切なところは,初期診断・治療と再発予防です.脳梗塞の診断には,MRIによる画像診断が重要です.拡散強調画像という急性期脳梗塞を画像上で描出できる方法が一般的となり,脳梗塞が脳のどの部位に生じているかが,比較的容易に診断するこができるようになっています.さらに,血管を造影剤などの薬剤を使用しなくても見ることのできる,MRアンギオグラフィーは,閉塞した血管を同定することが可能です.

脳梗塞発症から3時間以内にtPA(組織プラスミノーゲンアクチベーター)を投与すると,治療後の症状が改善されることが明らかとなり,脳卒中診療で広く用いられるようになってきました.tPAは,投与できる患者さんの条件があり,すべての患者さんに使用できるものではありません.また,血管にある血栓をカテーテル手術で除去する方法なども開発されています.進歩がめざましい医療分野のひとつです.

脳梗塞の再発予防は,血液を固まりにくくする薬剤によるものが一般的です.動脈硬化による脳梗塞では,抗血小板剤といわれる,血小板が集まって血栓ができることを予防する薬を使用します.もう一つは,特殊な不整脈で心臓に血液の固まりができやすい人のために,抗凝固薬といわれる血液を固まりにくくする薬を使います.この抗凝固薬はワーファリンという薬で,血液の固まりにくさを血液検査でしばしばチェックする必要があることと,服用中に納豆など食べることができないなど,食事に注意が必要です.最近の抗凝固薬では,血液のモニタリングや食事制限の必要のない薬剤が使用可能となってきました.

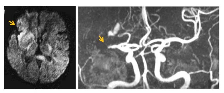
図 左上下肢の麻痺で病院に救急車で搬送された患者さんのMRIとMRA.MRI(左)は拡散強調画像で,矢印の部分に白く移る脳梗塞が発見されました.MRA(右)では,脳梗塞の部分を栄養している中大脳動脈(↓)が閉塞していることがわかりました.

一過性脳虚血発作

 脳の血流が減少し,一時的に手や足の力が抜けたりや言葉の障害が出ることがあります.これが一過性脳虚血発作と呼ばれる状態です.症状は数分から1~2時間以上続くこともあります.定義では24時間内に症状が消失するものをいいます.症状が一時的だったから軽かったといってほっておいたらいけません.なぜかというと,このような一過性脳虚血発作を生じた人は,本物の(症状が治らない)脳梗塞になる可能性が高いからです.似たような症状を現す病気もありますので,詳しい検査と医師の診断が必要です.