病気と治療

ページタイトル画像

神経内視鏡

神経内視鏡手術

千葉大学医学部附属病院 脳神経外科 堀口 健太郎
池上 史郎 

脳神経外科の手術は手術用顕微鏡で行われることが多いのですが、内視鏡で近接してより良く観察したり、顕微鏡の死角を補ったりしながら治療する手術が普及してきています。特に千葉大ではその普及に尽力してきました。

  • 図1.内視鏡を用いた下垂体手術
    内視鏡を鼻腔の奥に入れることでより広い範囲の観察が可能です。

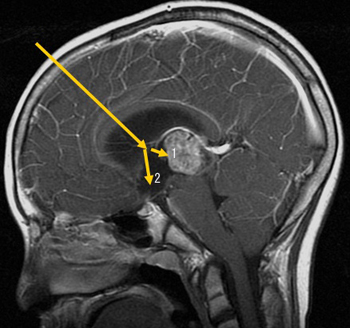
  • 図2.内視鏡を用いた水頭症手術(第3脳室底開窓術)と腫瘍の生検術
    矢印のように内視鏡を挿入し腫瘍の一部(1)を切除して診断をしたり、第3脳室の床に開窓(2)して水頭症を治したりします。

<はじめに>

 内視鏡を使うと小さい間口から、病変に近接して横からや裏側からも観察することも可能で正面だけからの観察より詳細な観察が可能となります。ここでは内視鏡が脳神経外科手術にどのように利用されて効果をあげているのかをご紹介したいと思います。
従来顕微鏡で行っていた手術を内視鏡単独で行う手術と顕微鏡手術を補助するための利用法に分けてお話しします。

<内視鏡だけで行う手術>

 近年の普及が最もめざましいのは下垂体の手術です(図1)。下垂体という両眼の奥にある場所に、狭くて奥行きのある鼻腔からでも内視鏡を用いてアプローチすることで広い視野角で観察し全体を良く見ながら摘出することができるため摘出率が向上しています。また、手術の際の鼻の粘膜の損傷も少なくなる場合が多くなります。
 脳出血などの脳実質内の病変にも透明な管を脳にさして内視鏡で周囲を観察しながら摘出することが可能になってきています。
 もう一つ脳室内腫瘍と水頭症の治療(図2)でも大変効果を上げています。頭の中には脳を衝撃などから守っている髄液と言う水が流れていますが、この水が腫瘍などでせき止められて溜まりすぎると水頭症という病気になります。内視鏡を頭の中の溜まった水の中にさして髄液の流れ出るバイパスを作ったり、腫瘍の一部を取って腫瘍の種類を診断したりして化学療法や放射線治療などの最善の治療法を選択できるようになりました。こうすることによって開頭手術をしないで済む場合も多く、一部の脳室内の腫瘍では内視鏡単独で摘出することもできるようになりました。

<顕微鏡手術を補助する内視鏡の利用>

 脳動脈瘤の手術では動脈瘤の裏側の重要な血管を観察して手術の際に閉塞してしまうのを避けたり、血管が神経を圧迫して起こる半側顔面けいれんでの圧迫している血管を同定したりすることなどに使われ、手術の効果を増しています。

<さいごに>

 内視鏡手術は現在、急速に普及してきていますが、内視鏡は近接して良く見ることには優れていますが、広い範囲を一度に良く見ることは苦手です。ですから病変の大きさや性質によっては顕微鏡での手術の方が優れていることがあります。また、手術をされる先生の経験によって安全性は違ってきますので治療される先生に良く相談して納得できる治療を受けることが大切です。

<臨床研究について>

「神経内視鏡手術における合併症の低減及び周術期管理」に関する研究を倫理審査委員会承認の上、神経内視鏡手術で治療した患者様の治療内容、治療成績、治療予後などに関する臨床データを把握し、それらの情報を研究や学会発表に利用させていただいております。すべての情報は個人情報保護法に基づき、匿名性を保ち、外部には一切情報漏れがないように厳重に管理しています。ご不明な点ございましたら、ご遠慮なく下記へお問い合わせ下さい。

研究担当者
堀口健太郎

千葉大学大学院医学部医学研究院・脳神経外科学 医局
〒260-8670 千葉県千葉市中央区亥鼻 1-8-1
Tel: 043-226-2158
Fax: 043-226-2159