病気と治療

ページタイトル画像

グリオーマ

グリオーマとは

グリオーマとは、脳の中で神経細胞を支えているグリアという細胞が腫瘍化したもので、10万人あたり3人程度に発生する代表的脳腫瘍です。その悪性度はさまざまで、比較的良性のものから最悪性型の膠芽腫(グリオブラストーマ)まで多くの種類があります。しかし、いずれも脳という重要な臓器に浸潤性に進展し、その機能障害をもたらすという点で臨床上悪性といえる性質を持っています。仮に低悪性度であってもゆっくりと進行、悪性化していき、いずれは脳ヘルニアや脳幹の直接損傷により致命的となることがあるため、適切な診断・治療が必要です。

グリオーマの種類

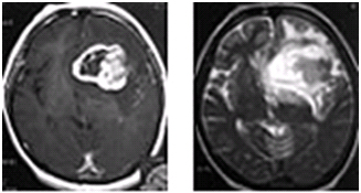
星細胞腫グレードIV(膠芽腫)

星細胞腫系(アストロサイトーマ)

グリオーマの大部分を占める組織型で、悪性度は比較的良性のグレード1から最悪性型のグレード4(グリオブラストーマ)に分類されています。悪性度の低いアストロサイトーマでも緩徐進行性で、再発するたびに悪性度を増していくのが一般的です。

乏突起神経膠腫系(オリゴデンドログリオーマ)

乏突起膠細胞という特殊なグリア細胞から発生する腫瘍で、化学療法に比較的良く反応するものがあります。グレード2のものと、退形成性というグレード3のものがあります。

上衣腫(エペンディモーマ)

脳室という脳脊髄液を貯留する部屋の壁を形成しているのが上衣細胞と呼ばれる細胞で、そこから発生する腫瘍です。悪性度はあまり高くありませんが、放射線や化学療法への反応性は低く、早期に再発することもあります。

グリオーマの治療法

一般的に、手術、放射線治療、化学療法などを組み合わせた治療が行われます。グリオーマは悪性度によらず、MRIなどで描出される領域を超えて正常脳に浸潤する形で発育していきます。さらに脳組織は部位により重要な働きが局在(機能局在)しているため、手術による腫瘍細胞の全摘出は多くの場合不可能です。したがって、残存した腫瘍細胞に対する適切な対処が必要となります。多くの場合選択肢となるのは放射線治療と化学療法ですが、グリオーマ細胞は放射線感受性や抗癌剤感受性が一般的に低いと考えられています。

当院における治療方針

手術

全てのグリオーマにおいて、最大限の外科的切除を行なうことが最も重要なファースト・ステップであると考えています。しかし、それにより重篤な麻痺や言語能力を失うなど、大きな神経機能の障害が起きてしまったのでは治療の意味がありません。神経機能を温存した摘出術を行うことが重要です。そのために患者さんの状態や腫瘍の予想される悪性度、局在に合わせて、術中ナビゲーション、術中電気生理学的モニタリング、覚醒下手術、蛍光標識薬(5-ALA)などを駆使して、最大限の腫瘍摘出と、最小限の合併症を目指した手術を行っています。

放射線治療

星細胞腫グレード4(膠芽腫)においては術後の放射線治療は一般的に必須と考えています。グレード3に関しても一部の化学療法の効果が期待できる腫瘍を除き、放射線治療を初回から検討します。それ以外の腫瘍では、放射線治療は早期には行わず、再発時の切り札として温存しておきます。悪性度の低いグリオーマにおいては、放射線治療の効果は不十分であることと、場合によっては悪性化を加速することがある一方、昨今の医学の進歩により化学療法の選択肢が増えてきていること、有効であるものも少なくないことが明らかとなっているからです。

化学療法

グレード4に対するテモゾロマイドの有効性が明らかとなって以降、様々な新規薬剤の有効性が報告されています。グレード3以上の腫瘍に関しては腫瘍型や発生様式(初発、再発)、患者さんの年齢や状態などに合わせて、最新の知見を反映し、それらの薬剤を組み合わせた治療を行っています。 乏突起神経膠腫などはニトロソウレア系薬剤であるACNUを中心とした化学療法が有効な場合が多く、腫瘍の遺伝子異常の精査の上、術後の残存腫瘍や再発腫瘍に対して積極的に化学療法を行います。

当科において行っている手術支援技術

術中ナビゲーション

事前に撮像しておいた精細なMRI画像を元に、術中にあたかもカーナビゲーションのように操作部位を知ることが可能で、手術をより安全・確実なものへとしてくれます。

術中生理学的モニタリング

ナビゲーションによる解剖学的な位置関係のみならず、電気生理学的に重要な部位を術中に同定することで、特に運動線維と感覚線維の温存に役立ちます。

覚醒下手術

術中に患者さんに麻酔から覚醒してもらい、主に言語機能の局在を同定、機能を温存することを目的とします。麻酔科医師、言語療法士、検査技師の方々にもご協力いただき、チームで重要な機能の温存を目指します。

蛍光標識薬(5-ALA)

術中に特殊な光を当てることにより、特に高悪性度の腫瘍を光らせることが可能となります。これまで以上に十分な腫瘍の摘出を達成する助けとなります。