病気と治療

ページタイトル画像

眼窩内腫瘍

眼窩腫瘍とは

  堀口 健太郎

眼窩は、頭蓋骨と顔面骨により形成される四角錐型のくぼみで、視神経管と上眼窩裂を通して頭蓋腔とつながっています。上壁は頭蓋腔と、内側壁‐下壁は副鼻腔(篩骨洞・上顎洞)と、外側壁は眼窩外と接しています。眼窩内には眼球、外眼筋、各種神経とその鞘、涙腺、脂肪等の組織が含まれ、それぞれの組織から良性あるいは悪性腫瘍が発生します。また、隣接する副鼻腔や頭蓋内に発生した腫瘍が眼窩内に進展することもあります。

眼窩原発腫瘍の種類(太字は当科で治療した腫瘍です)

良性腫瘍 : 神経鞘腫、髄膜腫、神経線維腫、海綿状血管腫、涙腺腫瘍、視神経膠腫、類皮腫、孤立性線維性腫瘍、肉芽腫、偽腫瘍、類表皮腫、甲状腺眼症
悪性腫瘍 : 悪性リンパ腫、肉腫、転移性腫瘍
血管病変 : 静脈瘤、リンパ管腫

眼窩内腫瘍の症状

自覚症状 : 視力障害、視野障害、複視、眼痛、頭痛、羞明、流涙
他覚症状 : 眼球突出、眼位異常、眼瞼下垂、眼瞼腫脹

腫瘍の発生部位や大きさによって症状は異なります。腫瘍が、外眼筋によって形成される四角錐の内部にあるか外部にあるかによっても症状が異なり、外部では眼球突出、内部では視機能障害が主徴となります。治療上最も問題になるのは視機能です。手術の時期を逸すると視機能障害が後遺し、場合によっては失明することもあります。片眼性の視力視野障害は気づかずに進行していることが多いので、少しでも異常を感じたら早期の検査が必要です。

眼窩内腫瘍の治療

治療目的:
眼窩腫瘍の治療目的は、病変を摘出あるいは縮小させることにより視機能を維持すること、および整容面の改善を図ることです。悪性腫瘍の場合には救命が第一目的となります。
手術:
眼窩腫瘍の治療法は基本的には外科的摘出です。眼窩への到達経路により、経眼瞼結膜・経眼瞼による前方到達法、外側壁から進入する側方到達法、内視鏡を用いた経副鼻腔到達法、そして開頭により眼窩に進入する経頭蓋法に分かれます。腫瘍の大きさや部位、そして周囲の神経との位置関係から到達経路を選択します。悪性腫瘍の場合には眼窩内容全摘出術と義眼設置術、あるいは眼窩全摘出術を選択します。最近では頭蓋底外科の技術を応用して、広い術野を得ながらも整容性に優れた、安全で確実な腫瘍切除が可能となっています。
放射線・化学療法:
肉芽腫や偽腫瘍等の炎症性疾患や悪性リンパ腫では副腎皮質ステロイドの投与が有効です。悪性腫瘍の場合には放射線治療を併用する場合もあります。良性腫瘍でも再発を繰り返すような場合にはγナイフ治療を併用します。

実際の症例

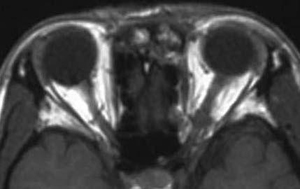
Ⅰ 30歳代女性

左眼窩尖端部腫瘍、病理診断は神経線維腫。
左視力、視野障害を主訴として来院した。摘出手術後視力、視野障害は正常化した。

  • 術前MRI

  • 術後MRI

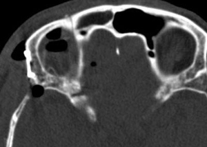
Ⅱ 60歳代男性

外眼筋四角錐内悪性リンパ腫
右視力・視野障害、眼球突出を主訴として来院した。摘出手術後視機能は改善し、眼球突出は消失した。骨条件術後CTでは、眼窩壁が整復され術前と同じ形状を維持していることがわかる。

術後 骨CT