病気と治療

ページタイトル画像

ガンマナイフ治療(脳動静脈奇形)

1.はじめに

築地神経科クリニック 東京ガンマユニットセンター
芹澤 徹

 脳動静脈奇形は先天性に脳に動脈と静脈の異常な吻合(シャント)がある病気です。異常な吻合部にはナイダスとよばれる血管塊が存在しています。この脳動静脈奇形を治療せず放置しますと、1年間に3-5%の確率で脳のなかに出血し、出血すると死亡や後遺症を残す危険があります5。この病気に対する治療選択として、経過観察、ガンマナイフ、開頭摘出術、塞栓術などがあります。これらの治療方法のうち、“どの治療方法を(あるいは組み合わせて)選択するのがよいか”、判断に迷うことがあります。一般に、若年者で手術摘出が可能な場合は手術を、中年以降で大きさが3cm以下の場合はガンマナイフ治療がよいと考えられます。ただ、だれひとりとして同じ血管構造を有する脳動静脈奇形はなく、また患者様ひとりひとの考え・嗜好やおかれている社会的状況が異なります。そこで私たちはこれまでの豊富な経験から、脳動静脈奇形の病気と同時に、患者様のご希望や価値観をお聞きしながら治療法を選択しています。また脳動静脈奇形からの出血を予防するためにガンマナイフ治療を行うのですが、一度出血した脳動静脈奇形は出血していない脳動静脈奇形に比べ、再出血のリスクが高く、より積極的な治療が必要です。千葉大学の関連施設である、築地神経科クリニックと千葉県循環器病センターではこれまで300例以上の脳動静脈奇形のガンマナイフ治療実績があり、以下にお示しする治療成績はこの2施設のものです。

2.ガンマナイフ治療の期待される効果について

脳動静脈奇形に対するガンマナイフ治療の目的は異常な血管をつまらせ、将来おこるかもしれない出血を防ぐことです。十分な放射線(20グレイを目標)を脳動静脈奇形のナイダス(細かい血管のかたまり)にあてることができれば、3年程度かかりますが、一般に80-90%の確率で完全に閉塞します(図1)3。完全に閉塞すれば、出血の危険はほぼなくなりますが、それまでは出血の危険があります。出血の可能性はガンマナイフ治療後低下することが知られています(図2)2

脳動静脈奇形の大きさは、小さいものほど合併症率が低く完全閉塞率が良好になります。一般にナイダスの大きさは2.5-3cmが限界です。初回の治療が無効でも、脳動静脈奇形が縮小していれば、もう一度ガンマナイフをすることで完治する可能性もあります。また、ガンマナイフ治療は脳動静脈奇形を閉塞させるのが目的で、必ずしも症状の軽快にむすびつくものではありません。治癒するまでの期間中大きな出血をした場合や、ガンマナイフで効かない場合などは結局手術が必要になるかもしれません。

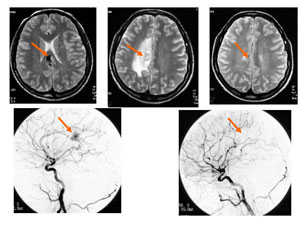
典型例をお示しします。くも膜下出血で発症した29歳、男性です。左上のMRIで矢印に示す部分に黒く見える部分が脳動静脈奇形です。左下は脳血管撮影で異常血管が黒くモヤモヤした血管の塊として確認できます。大きさは2.5cmでした。脳幹という脳深部で手術摘出が不可能な部位にありますので、ガンマナイフ治療を選択しました。ガンマナイフ治療後3年後のMRIを右上に血管撮影を右下に示します。病巣が完全に消失して治癒しています。

3.予想される副作用について

図4

放射線障害:一時的に照射した周辺の脳に浮腫(放射線誘発浮腫)を比較的高い確率(約1/3程度)で認めます(大きさ、ナイダスの場所、放射線の強さにより個人差があります)。ほとんどの方は無症状に経過しますが、症状が出現したときは副腎皮質ホルモンの内服が必要になります。

図4に典型的な放射線誘発浮腫例を示します。けいれん発症した20歳女性です(非出血例です)。ガンマナイフ治療時のMRIを上段左に、脳血管撮影を上段左に示します。矢印に病巣を示します。ガンマナイフ治療後1年後のMRIを上段中央に示します。病巣は消失していますが、周囲に雲がかかったような白い部分を認め、これが放射線誘発浮腫です。これに伴いけいれんが再度出現しましたが、副腎皮質ホルモンの3ヶ月間の投与で症状は消失しました。ガンマナイフ治療後3年のMRI(上段右)と血管撮影(下段右)を示します。病巣は完全に消失し治癒、放射線誘発浮腫も消失しています。

図5

放射線壊死(図5左):放射線壊死は放射線が原因で不可逆的な脳へのダメージがおこる病態です。軽症の場合は副腎皮質ホルモンで軽快しますが、副腎皮質ホルモンが無効の場合には手術で壊死組織を摘出する必要があります。3%以下になるよう放射線の量を決めます。その他、脳動静脈奇形が放射線に脆弱な周辺の脳神経(視神経、聴神経、顔面神経など)に近接していると、これらの神経の障害がでる可能性があります。

放射線壊死以外の晩期放射線障害:また、現在はわかっていない放射線の障害が、数年から10年以上経過して発生する可能性(放射線誘発腫瘍の発生、嚢胞形成、慢性出血など)があります。図5右はガンマナイフ治療後の嚢胞形成例です。これまでの15年間300例のガンマナイフ治療の経験では、いまだ放射線誘発腫瘍の発生はありませんが、長期的にみると数千に一つの割合で発生すると予想しています。

4.ガンマナイフ治療の原理・治療の方法について

図6

治療は原則として前日に入院、各種検査を施行後、翌日ガンマナイフ治療、問題がなければガンマナイフ治療翌日に退院できます。

 治療は、まず局所麻酔をして頭に特殊な枠(フレーム)をつけます(図6)。この枠は頭蓋骨にピンで固定します。局所麻酔に加え、十分な鎮静剤と鎮痛剤を注射で使用しますので、通常“全く無痛”です。フレームを頭に取り付けたあと、MRIと脳血管撮影を施行します。

脳血管撮影は、以前紹介先の病院で通常施行していますが、フレームに対するナイダスの正確な位置を知るため、フレームをつけた状態で検査が必要になります。しかし、血管の中にカテーテルという細い柔らかい管を通しますので、以下の合併症の可能性がゼロではありません。

  1. 造影剤のアレルギー
  2. カテーテル内の空気や血液の固まりが誤って脳へとぶ
  3. カテーテルが血管を傷つける

図7

その後、病室でお待ちいただき、その間医師が治療計画を作成します。準備ができましたら、ガンマナイフ治療室によばれ、照射となります。図7にガンマナイフ治療本体をしめします。治療テーブルに枠を固定し寝ているだけで終了します。照射(放射線を患部にあてること)は、人によって異なりますが、通常1度機械に出入りし、所要時間は1時間程度です。照射が終了しましたら、すぐにフレームをはずします。その後1時間程度頭がジンジンするような頭痛がありますが、病棟に鎮痛剤を用意しておきますので、これを内服してお休みください。

 朝、傷の消毒を行い退院できます。体にかかる負担は“虫歯を一本ぬく”程度です。治療費用は総額で55万円程度です。ガンマナイフ治療は健康保険の適応ですので3割負担の方は16-17万円程度の自己負担となります。

5.ガンマナイフ治療の経過観察について

治療後およそ6か月毎にMRIで治療効果判定や副作用のチェックのため通院が必要になります(最初の半年は3か月ごと)。MRIで脳動静脈奇形が消失していたら、確認のため再度脳血管撮影が必要になります。MRIで消失していなくても2-3年後には今後の治療方針決定のため、脳血管撮影が必要になります。閉塞確認後は1年に1度MRIでの検査をお勧めします。

6.最適な治療選択のための目安(臨床判断分析を用いた検討)

図8-9に3cm以下の小さな脳動静脈奇形に対する治療法としてガンマナイフ治療、経過観察、手術のどれが最適かを点数化したグラフを示しました。これは臨床判断分析という特殊な統計手法を用いて、各治療の成績から予測される結果を点数化したものです1,4。最良が100、最悪が0です。点数が高いものほどよい治療法と考えられます。縦軸は“期待される点数”、横軸に“年齢(歳)”です。これによれば、非出血例では(図8)、60歳までは手術が、60歳以上では経過観察がよいといえます。ただ手術の難易度が高い場合は手術とガンマナイフ治療の差はわずかですので、ガンマナイフ治療がよいと思われます。一方出血例では(図9)、60歳までは手術可能であれば手術が、60-70歳では手術可能であってもガンマナイフ治療が、70歳以上では経過観察が最良の治療法といえます。出血例では高齢になっても再出血の可能性が高くなり、積極的な治療の必要があります。また若年者においては、ガンマナイフ治療では長い余命では放射線壊死や嚢胞形成、放射線誘発腫瘍発生が問題になるので、手術可能な場合は手術をお勧めしています。

  • 図8

  • 図9

7.ガンマナイフ治療と血管内手術の併用

ガンマナイフ治療を行うのに当たって、リスクの高い脳動静脈奇形がこれまでの300例の経験からわかってきました。その代表はナイダスが3cmをこえる大きな脳動静脈奇形です。ガンマナイフの原理は“虫眼鏡で太陽光を集めて紙を焼く”と例えられることから、ガンマナイフ治療では病巣(ナイダス)が小さい必要があります。ナイダスの大きさが2.5-3cm以上となりますと焦点がぼやけてしまい、病巣に十分な放射線量を照射しますと周囲正常脳への被ばく線量が大きくなります。このため放射線障害を低減するためには、治療線量を落として照射します。その結果、治癒(完全閉塞)の可能性が低下、治療後の出血が増加します。この問題を解決する一つの方法として血管内手術の併用があります。大腿動脈からカテーテルを挿入し脳動静脈奇形の中に塞栓物質(糊のようなもの)を流し込みます。このような方法で脳動静脈奇形を小さくしてからガンマナイフ治療を行う方法があります。

図10

図10にその一例示します。左は初診時のもので左運動野(手足を動かす中枢)に3.5cmの大きい脳動静脈奇形を認めます(図10左)。これを塞栓術で縮小させ、ガンマナイフ治療を行いました(図10中)。放射線誘発浮腫の発生なく、ガンマナイフ治療後3年で完全閉塞が得られました(図10右)。また、脳動静脈奇形内に動脈瘤がある場合はガンマナイフ治療後の出血のリスクが高くなります。あるいは高流量のシャント、外頸動脈からの血液供給がある場合は、ガンマナイフ治療後の閉塞率が低下することが知られています。このような血管構築をもつ脳動静脈奇形の患者さまにもガンマナイフ治療前後に血管内手術を併用することをお勧めしています。特に難易度が高い血管内手術が必要な場合は、経験豊富な脳血管内治療医と緊密に連携して、私たちはガンマナイフ治療を積極的に行っています。なお、塞栓術およびその画像は日本医科大学千葉北総病院・脳神経外科・小南修史先生にご協力いただきました。

参考文献

1)芹澤 徹、平井 伸治、小野 純一ほか小さな脳動静脈奇形に対する治療選択 -臨床判断分析による検討-:脳卒中の外科 31:81-86、2003

2)芹澤 徹、小野 純一、平井 伸治ほか:脳動静脈奇形に対するガンマナイフ治療後にlatency periodの出血は自然歴と比較して減るか? 脳卒中の外科 32:133-137、2004

3)芹澤 徹、樋口佳則、小野 純一ほか:脳動静脈奇形に対する低線量ガンマナイフ治療成績。脳卒中の外科 33: 352-356、2005

4)芹澤 徹、樋口佳則、小野 純一ほか:未破裂脳動静脈奇形に対する臨床判断に基づく治療法の選択 -経過観察か、ガンマナイフか、手術か?- 脳卒中の外科34 152-156、2006

5)芹澤 徹、樋口佳則、小野 純一ほか:小さな脳動静脈奇形の自然歴 ガンマナイフ治療を施行した2000例の初回出血の検討。脳卒中の外科 35:41-46、2007