病気と治療

ページタイトル画像

聴神経腫瘍

1.聴神経腫瘍はどんな病気?

聴神経から発生する“良性”の脳腫瘍で、神経を包んでいる膜、鞘(さや)の細胞から発生するために、聴神経鞘腫(ちょうしんけいしょうしゅ)とも呼ばれます。良性の腫瘍であるために、脳以外の他の臓器(肝臓、肺など)に転移したり、1~2カ月で急激に大きくなることはありません。しかし、腫瘍は徐々に成長し、大きくなると脳を圧迫するようになり、歩行障害、意識障害などをきたし、最終的には生命にかかわってくる病気です。

2.どんな症状が出るのでしょう?

最も多い初発症状(最初に自覚する症状)は、聴力低下です。通常、聴神経腫瘍は片側に発生しますので、腫瘍のできた側の聴力低下が発生します。電話の声が聞き取りにくい、人ごみでの会話が聞き取りにくいなどの症状で気付くことが多いようです。耳がつまったような感じ(耳閉感)が現れることもあります。この時期に診断されれば、腫瘍が小さな時期に早期診断ができます。

しかし、そのまま放置されると、腫瘍が大きくなって、三叉神経や小脳を圧迫するようになります。このため、三叉神経の障害による顔面のしびれ・痛み、小脳の圧迫によるふらつき・歩行障害、水頭症の合併による意識障害などの症状が出てきます。この時期まで進行すると、治療はかなり難しくなってきます。

3.どのように診断されるのでしょう?

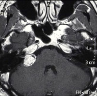
聴神経腫瘍を診断するためにはMRI(エムアールアイ)が必須です。造影剤を使ったMRIを行うことにより、直径数ミリの小さな腫瘍を正確に診断することができます。聴神経腫瘍が大きくなった場合は、CTによっても診断することは困難ではありませんが、CTでは数mmの小さな聴神経腫瘍を診断することは通常不可能です。聴力検査など耳鼻科での検査も必要ですが、聴神経腫瘍を最終的に診断するには、MRIあるいはCTという画像診断が必要です(図1)。

図1.聴神経腫瘍のMRI

4. 治療法は?

良性腫瘍とはいえ、徐々に大きくなることが予想されます。腫瘍の増大するスピードは、腫瘍の性質により異なります。約1mm/年といわれている報告があります。中には、嚢胞という水の袋が急に大きくなり症状が急速に進行することもあります。

大まかに分けて治療法には3つの選択枝があります。

  • 手術(開頭腫瘍摘出術)
  • ガンマナイフ治療(放射線を集中的に当てて腫瘍の増大を押さえる方法)
  • 経過観察(MRIを定期的にとって様子をみます)

腫瘍が大きい場合(おおよそ3cm以上)では、小脳・脳幹の圧迫があり、手術による摘出術が基本です。腫瘍が小さい場合(1~2cm程度)では、ガンマナイフ治療による治療も選択枝としてあげられます。腫瘍がさらに小さい場合は、症状が明らかではない場合もあり、MRIにより半年から1年に1回程度の経過観察を行い、様子をみることがあります。

5. 手術

良性の腫瘍ですから、手術により腫瘍をすべて取り除く、つまり全摘出することにより、再発もなく治ります。腫瘍が大きな場合は、腫瘍の全摘出が難しくなり、手術による合併症をおこす頻度も多くなります。顔面神経は特に重要であり、術中モニタリングを行い、神経機能を温存しつつ腫瘍を摘出します(図2)。

6. ガンマナイフ治療

 ガンマナイフは放射線治療の装置です。ガンマナイフにより、聴神経腫瘍を治療することもあります。ガンマナイフの対象となるのは、大きさが2cm程度までの小さな腫瘍です。ガンマナイフによる治療では、腫瘍を消失させることは難しいですが、腫瘍の成長を抑えることがガンマナイフの目的とするところです。50-90%では腫瘍が小さくなるか、腫瘍が成長しないという効果が得られます。しかし、ガンマナイフ治療後、腫瘍が一時的に大きくなることがあります。長期にわたる治療後の経過は10年程度の報告があります。非常にまれですが、ガンマナイフ治療後、聴神経腫瘍が悪性化したという報告があります。

7. 治療法の選択

治療法の選択は、腫瘍の大きさ、症状、年齢、全身状態を考え選択されます。もちろん、患者様の意志がもっとも尊重されます。手術とガンマナイフ治療は、組み合わせて行われることもあり、手術でどうしても摘出できない部分はガンマナイフで治療を行うこともあります。信頼できる医師と十分に相談することが必要です。